How to Tell if a Cyst or Growth in the Mouth Needs Surgical Removal

The finding of a cyst or some sort of growth in your mouth can be scary, however, not all Oral Lesions are dangerous or even need surgical intervention. Some are benign and may even improve without further interventions, others may be indicative of a more significant problem, which needs immediate attention and treatment. It is important in maintaining oral and overall health to know when a cyst or mouth growth requires surgical removal. Early detection and professional care will be able to avoid complications, particularly if you are pondering whether to undergo treatments such as dental implants Boca Raton or tooth extractions, or similar issues. Below, we discuss the signs, symptoms, and the actions to take to know whether surgical removal is required.
What is Oral Cysts and Growth?
Cysts and growths in the oral region are present in different forms and can develop themselves on the tongue, the gums, the palate or inside the cheeks or beneath the jaw. Some of the common ones include the mucoceles (fluid-filled sacs commonly caused by clogged salivary glands), fibromas (noncancerous growth of connective tissue) and periapical cysts (periapical cysts are associated with infected or dead teeth). Other growths may turn out to be more severe such as precancerous lesions or cancers of the mouth.
Whereas some of the conditions are painless and can cause little harm, others can compromise one’s ability to chew/speak or even breathe – in particular, where a sleep apnea doctor in Boca Raton is looking out for a patient. Thus, the changes in your mouth should be observed, and you should address an oral health professional on time.
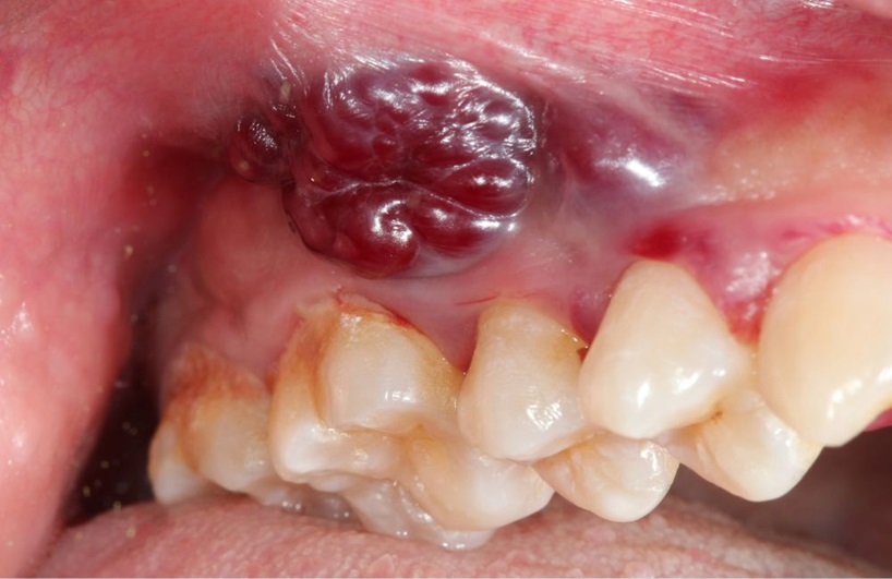
Manifold signs as a Result of which Surgical Removal may Become Necessary
There are no oral cysts and growths that do not require surgery but there are certain signs that will let one know that surgery is a necessity. These include:
- Persistent or growing lump: As for any increase or expansion of growth or cyst with time, this phenomenon may indicate the presence of a problem which has to be addressed surgically. This is particularly the case if you are to undergo processes such as Boca Raton dental implants; whereby one needs to leave space and bone integrity.
- Pain or discomfort: According to some, relentless pain (especially when chewing, swallowing and speaking) can signify that the growth is irritating the tissues or the nerves around.
- Ulceration or bleeding: Any oral lesion which bleeds for no particular reason at all or which fails to heal completely in the period of two weeks must be inspected as it may indicate some worse malaise.
- Interference with oral function: If the cyst or the growth impairs your ability to take food, talk, and ensure that you have good oral hygiene then it is better to remove it so as to restore your functionality.
- Signs of infection: The manifestations of the infection are some, the same include redness, swelling, discharge of pus and/ or foul taste in the mouth. Infected cysts will be expected to cause complications and they are to be excised.
- Recurrent growths: When a cyst recurs repeatedly following its drainage or conservative treatment, surgical removal may be needed to clear the whole lesion.
Diagnosis and Evaluation
If you find some strange growths or cysts in your mouth, the first thing one should do is schedule an appointment with his or her dentist or an oral surgeon. Most probably, you will be referred to a specialist in order to further examine your condition. This may include the use of the X-rays, CT scans or MRIs, especially if a lesion is found near the tooth root or a jaw bone. In some cases a biopsy may be done so as to determine whether the growth is benign or malign.
It is also possible that the patients of wisdom teeth removal Boca Raton can have cysts from impacted wisdom teeth. They are known as the dentigerous cysts and they tend to form in the area surrounding unerupted or semi erupted teeth. They are capable of causing damage to its surrounding teeth or cause infections hence they have to be removed surgically.
Treatment Options and Surgical Removal
If your provider of oral health believes that cyst or growth that you may have would need to be removed through surgery, he/she will design a treatment plan based on your case. Surgical excision is usually quite an easy procedure done with an anesthesia either local or general depending on the size and location of the lesion.
For example, if it is located in the jaw or the jawbone the cyst; surgical removal can be used along with other procedures like the extractions of teeth in Boca Raton. However elimination is of importance if at a particular stage when the growth occurs in the close proximity to the region whereby it is expected that implants are to be inserted for the dental purpose then there will be no growth of complications during the process.
Post-Surgical Care and Recovery
The recovery rate after the removal of an oral cyst is swift and characterized by little pain. Your oral surgeon will give you post-operative care instructions including how to manage the pain, diet, and hygiene. One must obey these directions strictly to avoid an infection and facilitate healing.
Aside from this follow-up, patients that have undergone tooth extraction Boca Raton or dental implants should attend such appointments to make sure that the wound is healing properly at a healing rate and no complication can happen. Healing time differs depending on the size of the cyst and the complication of the operation, but the patients usually resume normal activities within a few days.
Conclusion
Oral cysts and growths are very frequent but knowing when to surgically remove them is very important for your oral health. Watch out for any abnormalities in your mouth and surely do not hesitate to get yourself to a professional evaluation should you observe something strange. In case you are getting ready for Boca Raton dental implants, wisdom teeth removal, or you are consulting a sleep apnea doctor boca raton, early treatment is the thing that helps to get the best result. Do not forget that the timely diagnosis and treatment will help to avoid complications, and will save both your oral and general health.










